Lava
Applied Procedures:
Crowns, Dental Bridges, Tooth Extractions, Root Canal Therapy, Lava, Porcelain Crowns, Dental Implants
![]() |
![]() |
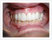
| Before Photo | After Photo |
Actual patient of Dr. West
![]() |
![]() |
| Before Photo | After Photo |
Actual patient of Dr. West
![]() |
![]() |
| Before Photo | After Photo |
Actual patient of Dr. West









