Porcelain Crowns
Applied Procedures:
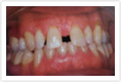
Porcelain Crowns
![]() |
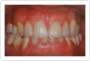
![]() |
| Before Photo | After Photo |
Applied Procedures:
Porcelain Crowns
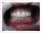
![]() |
![]() |
| Before Photo | After Photo |
![]() |
![]() |
| Before Photo | After Photo |
Applied Procedures:
Crowns, Dental Bridges, Tooth Extractions, Root Canal Therapy, Lava, Porcelain Crowns, Dental Implants
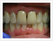
![]() |
![]() |
| Before Photo | After Photo |
Actual patient of Dr. West
![]() |
![]() |
| Before Photo | After Photo |
Actual patient of Dr. West
![]() |
![]() |
| Before Photo | After Photo |
Actual patient of Dr. West
![]() |
![]() |
| Before Photo | After Photo |
Actual patient of Dr. West



















